Advances in Animal and Veterinary Sciences
Represent the effect of different doses of ZnONPs was synthesized by PPE on serum testosterone concentration (ngml ) in adult male rats along 56 day of treatment.
Represent the effect of different doses of ZnONPs was synthesized by PPE on serum testosterone concentration (ngml ) in adult male rats in zero time, 28day and 56 day of treatment.
Represent the effect of different doses of ZnONPs was synthesized by PPE on serum LH concentration (mlUml) in adult male rats after 56 day of treatment.
Represent the effect of different dose of ZnONPs was synthesized by PPE on LH concentration (mlUml) in adult male rats, in zero time, 28day and 56 day of treatment.
Represent the effect of different doses of ZnONPs was synthesized by PPE on serum FSH concentration (mlUml) in adult male rats after 56 day of treatment.
Represent the effect of different doses of ZnONPs was synthesized by PPE on Serum FSH concentration (mlUml) in adult male rats in zero time, 28day and 56 day of treatment.
Represent the different doses of ZnONPs was synthesized by PPE on Inhibin B concentration (pgml) in adult male rats after 56 day of treatment.
Represent the different doses of ZnONPswas synthesized by PPE on serum Inhibin B concentration (pgml) in adult male rats in zero time, 28day and 56 day of treatment.
Represent the effect of different doses of ZnONPs was synthesized by PPE on A-Seminiferous tubules diameters (µm), B- Number of interstitial cells.
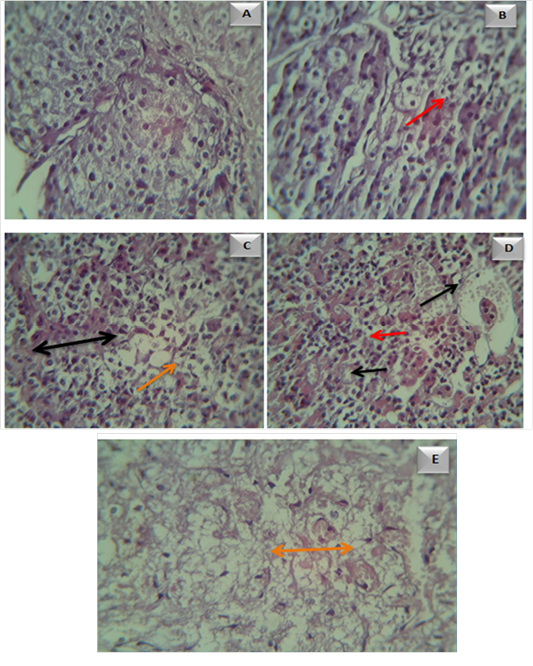
Microscopical examination of pituitary gland tissue in A- control group. B- Adult male rats in (G1 ) group, showed vacuolar formation (). C- Adult male rats in (G2 ) group, showed blood vessel congestion and dilation ( ) with vacuoles (). D- Adult male rats in (G3 ) group, showed necrosis(). Adult male rats in (G4 ) group, showed massive vacuolar formation ().
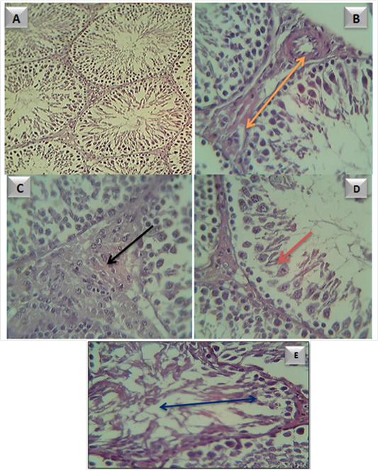
testicular tissue in A- control group. B- adult male rats in (G1) group, showed subcapsular congestion
(). C- adult male rats in (G2) group, showed large and proliferate leydge cells (). D- adult male rats in (G3) group, showed sever atrophic necrosis of spermatogonal cells () E- adult male rats in (G4) group, showed sever atrophic necrosis and distoration of seminiferous tubule ()
























