Advances in Animal and Veterinary Sciences
Case Report
Adv. Anim. Vet. Sci. 7(6): 498-502
Figure 1
Discontinuity of the left femur bone at the mid-femoral region on left-lateral view.
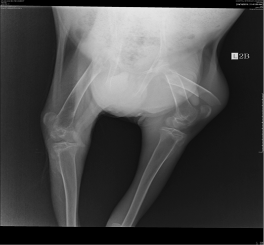
Figure 2
Overriding of the proximal and distal femoral bone fractures on the ventral-dorsal view. Thinning of bone cortex and the presence of increased radiolucency was observed in the bone medulla.






