Advances in Animal and Veterinary Sciences
platelets (PLT)PLT×109 cell/ml2(A), while blood cells (WBC) WBC×109cell/ml2(B), and red blood cells (RBC) RBC×1012 cell/ml2(C),counts in the control (C) and mice consumed energy drink groups; high concentration for 10 days (T1), for 20 days (T2), and low concentration for 20 days (T3). *Significant differences in control vs. consumed energy drink groups, #Significant differences among consumed energy drink groups.
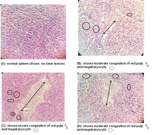
Histopathological sections in spleen of control (A), mice consumed high concentration energy drink for 10 days (B), for 20 days (C), and consumed low concentration energy drink for 20 days (D)
Histopathological sections in testis of control (A), mice consumed high concentration energy drink for 10 days (B), for 20 days (C), and consumed low concentration energy drink for 20 days (D)







