Advances in Animal and Veterinary Sciences
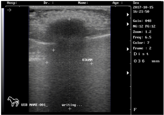
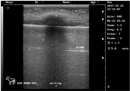
Ultrasound images of the testis of 3 months lamb showing: moderate echogenicity of the testicular parenchyma; mediastinum testicular highly echogenic
Ultrasound images of the testis of 8 months lamb showing: high echogenicity of the testicular parenchyma; mediastinum testicular moderately echogenic
Ultrasound images of the testis of 9 months lamb showing: high echogenicity of the testicular parenchyma; mediastinum testicular lowly echogenic
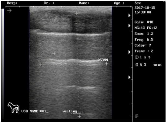
Ultrasound images of the testis of mature ram showing: high echogenicity of the testicular parenchyma; mediastinum testicular lowly echogenic
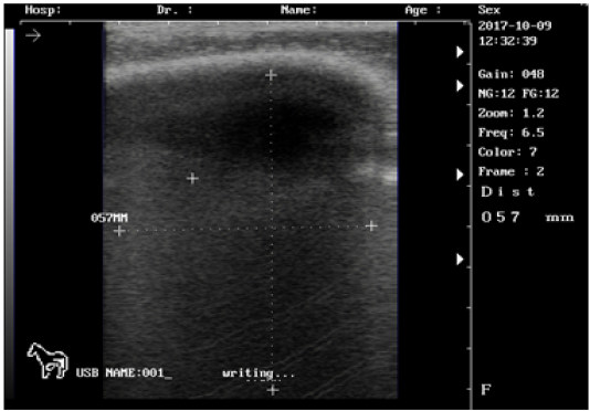
Ultrasound images of the testis of 6 months lamb showing: moderate echogenicity of the testicular parenchyma; mediastinum testicular moderately echogenic
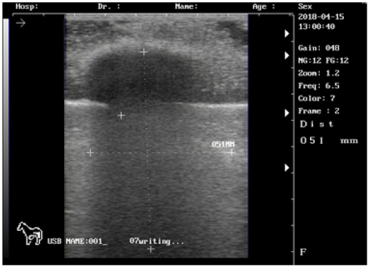
Ultrasound images of the testis of 4 months lamb showing: moderate echogenicity of the testicular parenchyma; mediastinum testicular highly echogenic
Ultrasound images of the testis of 5 months lamb showing: moderate echogenicity of the testicular parenchyma; mediastinum testicular diffusely echogenic
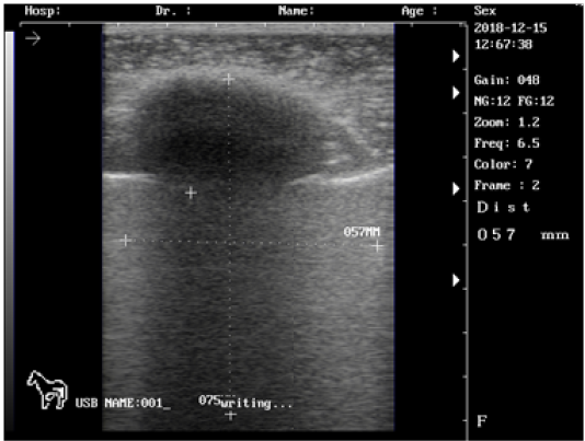
Ultrasound images of the testis of 7 months lamb showing: high echogenicity of the testicular parenchyma; mediastinum testicular diffusly echogenic












