Advances in Animal and Veterinary Sciences
Mean serum level of ALT in experimental mice groups
Mean serum level of AST in experimental mice groups
Mean serum level of GGT in experimental mice groups
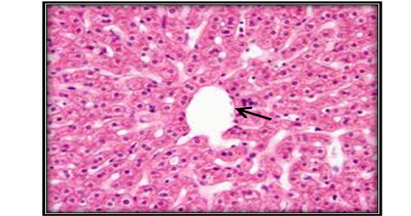
Liver section for untreated mouse (control) showing central vein ( ) surrounded with hepatic cord (H&E 200X).
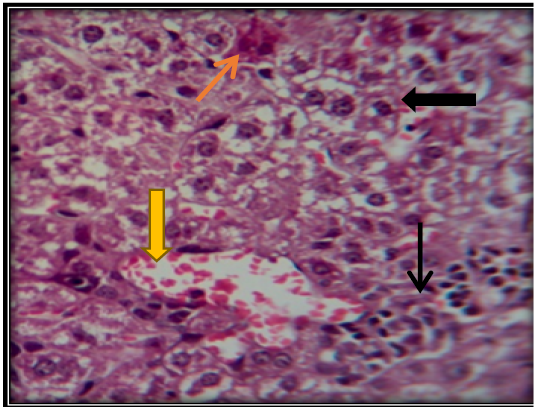
Liver section for mouse treated with AFB1showing congestion of central vein ( ) with vacuolation of hepatocyte ( ) and apoptotic cells ( ) and accumulation of inflammatory cells in necrotic areas ( ) (H&E 200X).
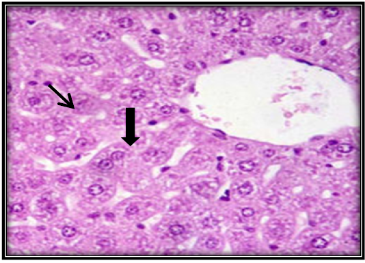
Liver section for mouse treated with AFB1 and ginger root extract showing single necrotic hepatocyte ( ) and mitotic figures of hepatocyte ( ) (H&E 400X).

















