Research Journal for Veterinary Practitioners
T521 body weight (kg) from February to May 2016. Note the severe reduction of body weight from 4th May 2016 with 30th May 2016
Severe pulmonary hepatisation at the cranioventral aspect of the lungs
Multiple pulmonary abscesses with thickening of interlobular septa
Fibrous tissue capsule in the lungs, with congested remnant of alveoli. (H and E, bar = 500µm)
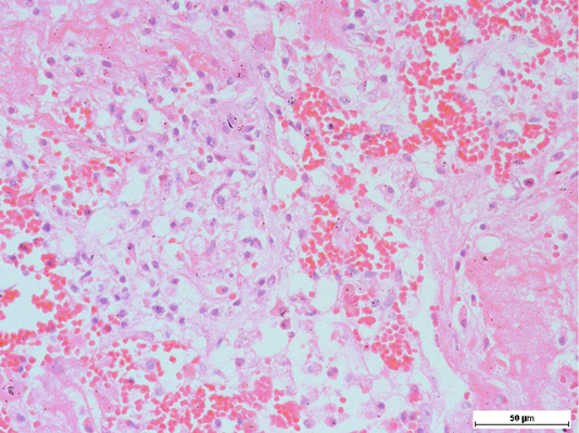
Presence of alveolar macrophages and neutrophils, intermixed with fibrin along with haemorrhage in the lungs
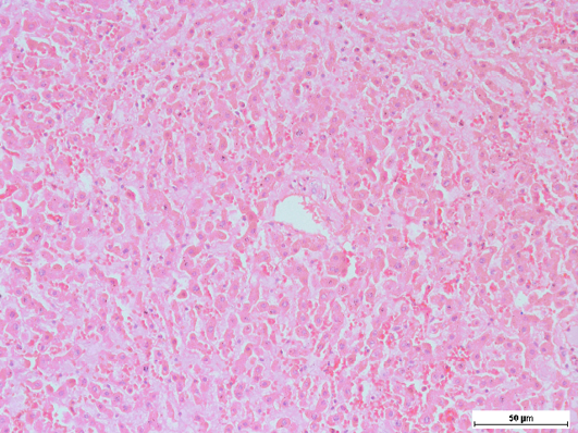
Swollen and shrinking of hepatocytes, with occasional cytoplasmic eosinophilia, Note that the sinusoids were widened










