Research Journal for Veterinary Practitioners
Case Report
Res. j. vet. pract. 3 (1): 13 - 14
Figure 1
Showing Ascardia galli worms collected from intestine of birds
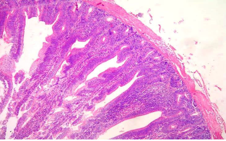
Figure 2
Section of intestine showing sloughing of villli and heterophillic infiltration)






