Research Journal for Veterinary Practitioners
Case Report
Res. j. vet. pract. 3 (1): 10 - 12
Figure 1
Ulcerated swelling on the left lateral angle of ilium in a buffalo
Figure 2
Excised tumor mass
Figure 3
Skin closure after the excision of tumour mass
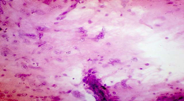
Figure 4
Photomicrograph of tumour mass showing large round to polygonal cells with round nuclei and abundant cytoplasm indicating histiocytes, along with few multinucleated forms (H & E)








