Research Journal for Veterinary Practitioners
Case Report
Res J. Vet. Pract. 9(1): 9-11
Figure 1
Hyperkeratosis and macronychia of the nails are observed in the four limbs
Figure 2
Sampling of the digital area for histopathology
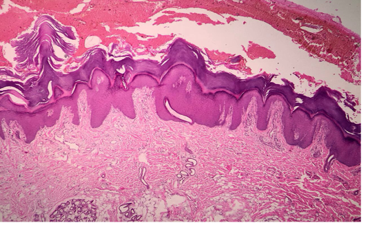
Figure 3
Photomicrography of dermatohistopathological demonstration of marked parakeratotic hyperkeratosis.







