TamuBetMPOATMTransisi Audio Dan Putaran Wild BountyPola Baru di Mahjong Ways Bawa PerubahanRTP PG Soft Lebih Unggul Dari Pragmatic

Research Journal for Veterinary Practitioners

Research Article
Res J. Vet. Pract. 8(4): 56-61
 
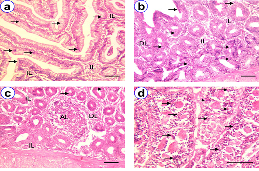
Figure 1

HE staining of duodenum at D30 (a), D90 (b), D180 (c~d) showing villi (V), intraepithelial lymphocytes (arrow), isolatory lymphocytes (IL), diffuse lymphocytes (DL), aggregated lymphocytes (AL); Scale bar = 50 µm (a~c), 100 µm (d). 

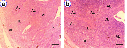
Figure 2

HE staining of jejunum at D30 (a) and D180 (b) showing intraepithelial lymphocytes (arrow), isolatory lymphocytes (IL), diffuse lymphocytes (DL), aggregated lymphocytes (AL); Scale bar = 100 µm (a~b). 

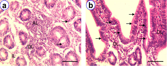
Figure 3

HE staining of ileum at D90 (a~b) showing intraepithelial lymphocytes (arrow), isolatory lymphocytes (IL), diffuse lymphocytes (DL); Scale bar = 50 µm (a), 100 µm (b). 

Figure 4

HE staining of cecum at D180 (a~b) showing villi (V), intraepithelial lymphocytes (arrow), isolatory lymphocytes (IL), diffuse lymphocytes (DL), aggregated lymphocytes (AL), lamina proprial lymphocytes (LPL); Scale bar = 50 µm (a~b). 

Figure 5

HE staining of cecal tonsil at D90 (a) and D180 (b) showing isolatory lymphocytes (IL), diffuse lymphocytes (DL), aggregated lymphocytes (AL); Scale bar = 50 µm (a~b). 

Figure 6

HE staining of colo-rectum at D180 (a~b) showing intraepithelial lymphocytes (arrow), isolatory lymphocytes (IL), diffuse lymphocytes (DL), aggregated lymphocytes (AL); Scale bar = 50 µm (a~b).