Research Journal for Veterinary Practitioners
Research Article
Res. J. Vet. Pract. 6(3): 20-25
Figure 1
A section of Base-Apex lead ECG signal obtained from holter ECG recording.
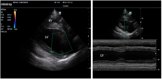
Figure 2
Echocardiographic of longitudinal image of heart (left) and M mode image of the left ventricle (right); RV = right ventricle, and LV=left ventricle.






