Journal of Animal Health and Production
Normal sperm shape in the epididymal sperm in control group
Abnormalities in epididymal sperm of AgNPs-treated mice
Abnormalities in epididymal sperm of AgNPs-treated mice
Abnormalities in epididymal sperm of AgNPs-treated mice
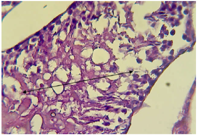
Histopathological section in testis of control animal reveals
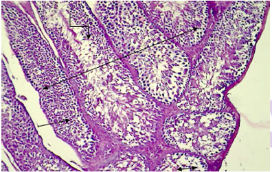
Histopathological section in testis of control animal shows normal arrangement of the seminiferous epithelium.
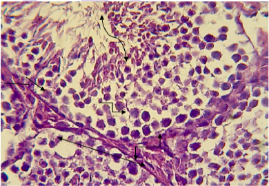
Histopathological section in testis of male animal treated with Ag NPs for thirty five days
Histopathological section in testis of male animal treated with Ag NPs for thirty five days
Histopathological section in epididymis of male animal treated with Ag NPs for thirty five days













