Journal of Animal Health and Production
Research Article
J. Anim. Health Prod. 7(2): 51-57
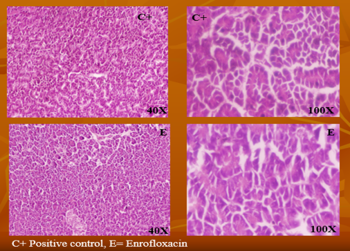
Figure 1
The pancreas of control and enrofloxacin treated birds showed normal histological detail (H & E stain).
Figure 2
The pancreas in ciprofloxacin and norfloxacin treated birds showed normal histological detail (H & E stain).







