Journal of Animal Health and Production
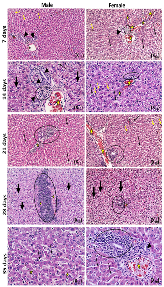
Photomicrographs of liver sections of male and female rats at 7th, 14th, 21st, 28thand 35thday (Haematoxylin and Eosin stain) {congestion (star); area of coagulative necrosis infiltrated with inflammatory cell infiltration (circle); pyknotic nuclei (yellow arrow); vacuolar degeneration of hepatocytes (thick black arrow); dilatation of hepatic sinusoids (thin black arrow);newly formed bile duct (head arrow) }.
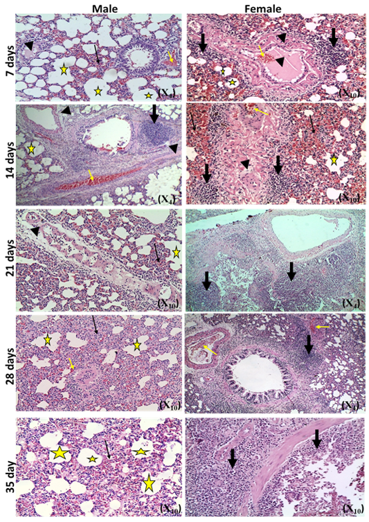
Photomicrographs of lung sections of male and female rats at 7th, 14th, 21st, 28th,and35thday (Haematoxylin and Eosin stain) {congestion (yellow arrow); edema (head arrow), alveolar emphysema (star); inflammatory cells infiltration (thick black arrow); thickening of interstitial tissue (thin black arrow)}.
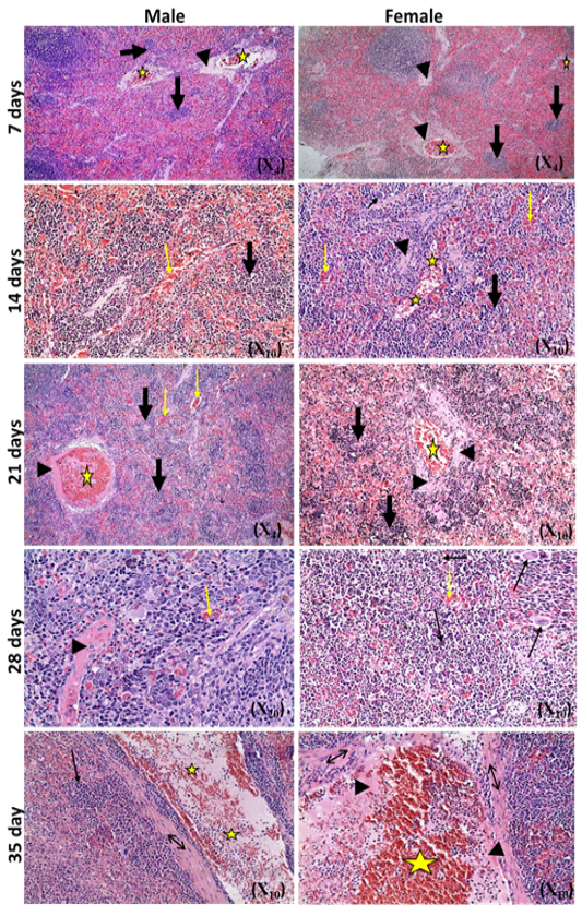
Photomicrographs of spleen sections of male and female rats at 7th, 14th, 21st, 28th and 35thday (Haematoxylin and Eosin stain) {congestion (star); hemorrhage (yellow arrow); vascular and perivascular edema (head arrow); depletion of white pulp (thick black arrow);









